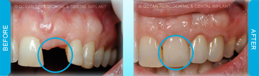
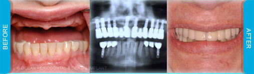
Dental Implant
Dental implants are commonly used to replace missing or lost teeth in order to ensure patient comfort, function, and aesthetics. Indeed, there are many treatment options for management of missing teeth, such as bridges, and partial/complete dentures.
Nonetheless, numerous studies have demonstrated that implant-supported restorations are generally deemed to have superior functional and aesthetic outcomes. Furthermore, there are cases where dental implants may be the only logical choice for the restoration of function and aesthetics.
Dental implants can be used to replace missing teeth. There are many benefits to this type of treatment.
牙齒植體于假牙不一樣,方法是動手術将牙腳放置于牙床骨上,植牙成功率平均於九成。 事實上治療 缺牙有許多方法如橋樑,部分/全口假牙。 然而許多研究已經證明,牙齒植體是最完美最持久的一个填補缺牙的方法。 此外,在某些情況下牙齒植體可能是讓你恢復功能及美觀的唯一選擇。
牙齒植體可以用來代替缺失的牙齒。這種類型的治療有許多好處:
